Dental Plus

Inicio / Dental Plus / Cirugía Oral y Maxilofacial


Cirugía Oral y Maxilofacial


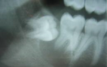
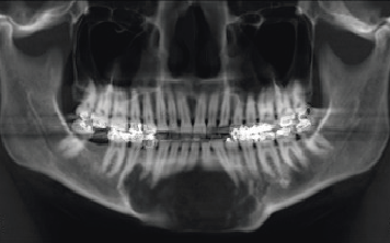
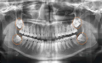
Es la rama de la odontología encargada del diagnóstico y tratamiento quirúrgico de las alteraciones en los tejidos duros y blandos de la boca como patologías infecciosas, tumorales y de malformaciones bucales y maxilofaciales, utilizando como ayudas diagnósticas la imagenología, la histopatología y pruebas de laboratorio clínico.

El odontólogo especialista en esta área posee el conocimiento y la destreza para toma de biopsias, realización de tratamientos de urgencias, manejo de alteraciones de la boca como: frenillos traccionantes, dientes retenidos o incluidos, cirugías pre protésicas, cirugías maxilo facilaes y reconstructivas.




Socializa

Sige con nosotros para obtener más información y noticias sobre el cuidado odontológico.



319 732 95 50

568 06 94

Calle 20 No. 22 – 46 La Ceja Ant.

Diseñado y desarrollado por: Ferney Chica - Alex Ossa
Modal de Ubicación Dental Plus Fin Modal de Ubicación Dental Plus