Dental Plus

Inicio / Dental Plus / Diseño de sonrisa


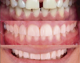
Diseño de sonrisa


Es un conjunto de procedimientos que incluyen la evaluación, asesoría integral en el diagnóstico y tratamiento en las áreas de la estética facial, bucal y dental. Todas las intervenciones son realizadas de manera integral por ortodoncista, cirujano oral y maxilofacial, periodoncista, odontología general, rehabilitación oral. Todos los profesionales tienen un solo ideal: mejorar las proporciones y formas de las partes importantes de la estética facial, como pómulos, nariz, mentón, ángulo mandibular y dientes. Realizan correcciones y/o realce de volumen, tamaño, forma simétrica y posición de los tejidos de la cara y la boca, para lograr una sonrisa sana y armoniosa, de acuerdo con los parámetros y cánones de la estética universal.
En nuestra institución los procedimientos de estética dental van desde la ortodoncia, el aclaramiento dental, resinas reconstructivas de bordes incisales, cierre de diastemas, hasta la rehabilitación protésica, siempre guardando las proporciones entre lo ético y lo realmente requerido por el paciente para mejorar su estética facial y su sonrisa.




Socializa

Sige con nosotros para obtener más información y noticias sobre el cuidado odontológico.



319 732 95 50

568 06 94

Calle 20 No. 22 – 46 La Ceja Ant.

Diseñado y desarrollado por: Ferney Chica - Alex Ossa
Modal de Ubicación Dental Plus Fin Modal de Ubicación Dental Plus